Town Square Family Dentistry
Town Square Family Dentistry
Request an Appointment
Like us on Facebook
Visit us on Yelp
Leave a Google Review
(858) 272-7300
4731 Clairemont Drive, Suite 101
San Diego, CA 92117
Home
About
Our Team
Office Pictures
Services
View All
Dental Implants
Root Canal Treatment
Crowns and Bridges
Dentures and Partial Dentures
Tooth Extractions
Invisible Orthodontics
General Dentistry
Teeth Whitening
Tooth-Colored Fillings
Porcelain Veneers
Smile Gallery
Testimonials
Patient Info
View Patient Info
Forms
Financial
FAQs
Contact
Town Square Family Dentistry
>
Smile Gallery
>
Porcelain Veneers
Porcelain Veneers
Return to Smile Gallery
Previous
Next
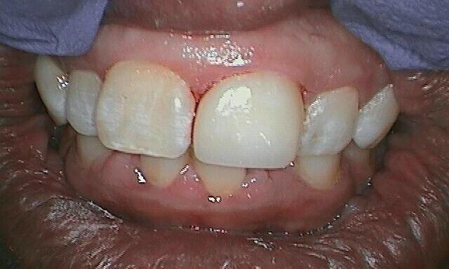
Restored broken tooth with a porcelain veneer.
Related Services:
Porcelain Veneers
Before
After
Improve your smile today – call to schedule a consultation!
Claim Now!
If you have difficulty using our website, please
email us
or call us at
(858) 272-7300
View the
ADA Accessibility Statement
Turn on ADA Views
Privacy Policy
OK!
×
×
Contact Us Today
Give Us A Call
Town Square Family Dentistry -
(858) 272-7300
Send Us an Email
Request an Appointment
Contact Us
Ready to Schedule an Appointment?
Book Online
Have Questions? Contact Us:
Required Field
Your Name:
Phone:
Email:
Are you a new patient?:
Are you a?
New Patient
Current Patient
How would you like us to contact you?
Please choose
Email
Call
How did you hear about us?
Please choose
I'm an existing patient
Google/Bing
Mailer
Word of mouth
Social media
Other
Who Referred You?:
Appointment Preferences
Monday
Tuesday
Wednesday
Thursday
Friday
Your Message:
This site is protected by reCAPTCHA and the Google
Privacy Policy
and
Terms of Service
apply.
Sending...
×
This Patient's Experience
Loading Testimonial...
Loading Case...